Begriffserklärung zu häufig verwendeten Fachausdrücken in der Orthopädie und Unfallchirurgie.
| Abduktion | Abspreizen, Seitwärtsbewegen eines Körperteils; Abduction |
| ACL | Vorderes Kreuzband im Kniegelenk Synonyme: VKB, Ligamentum cruciatum anterius, LCA, anterior cruciate ligament |
| ACP | ACP-Therapie Synonyme: Autologes Conditioniertes Plasma, autolgous conditioned plasma, ACP, Autologes Conditioniertes Serum, autolgous conditioned serum, Platelet Rich Plasma, PRP Autologes Conditioniertes Plasma wird hergestellt, indem dem Patienten Blut entnommen und zentrifugiert wird. Dadurch lassen sich die Blutbestandteile trennen und das Plasma mit Wachstumsfaktoren kann entnommen werden. Diese Substanz wird an eine verletzte oder chronisch gereizte Körperregion injiziert und regt durch die Wachstumsfaktoren zur Selbstheilung an. Die Unterschiede zwischen Autologem Conditioniertem Plasma (ACP), Autologem Conditioniertem Serum (ACS) und Platelet Rich Plasma (PRP) sind nur geringfügig und die Begriffe überlappen sich deutlich. |
| Adduktion | Anspreizen, Bewegung eines Körperteils zur Körpermitte; Adduction |
| …algie | Schmerz in einer bestimmten Körperregion; z.B. Coxalgie = Hüftschmerz, Gonalgie = Knieschmerz, etc. Die Diagnose „Coxalgie“ sagt nichts über die Ursache des Schmerzes aus, sie beschreibt lediglich ein Symptom. |
| Akromioklavikulargelenk | Synonyme: Schultereckgelenk, AC-Gelenk, ACG, englisch: AC joint, acromioclavicular joint Das Schultereckgelenk verursacht oft ab dem mittleren Lebensalter Beschwerden und kann von einer Akromioklavikulargelenk-Gelenkabnutzung (AC Arthrose, ACG-Arthrose, Akromioklavikulargelenkarthrose) betroffen sein. Oft wird der Schmerz punktuell am Übergang vom Schlüsselbein zum Schulterblatt beschrieben. |
| Akromion | Schulterdach (Teil des Schulterblattes) |
| anterior, ant. | vorne liegend |
| apikal, apical, apic. | an der Spitze gelegen |
| Apophyse | Knochenfortsatz, der als Ansatz für Sehnen, Bänder dient. |
Apophysitis | Überlastung einer Apophyse. Typischerweise kommt es zur Zeit des schnellsten Wachstums bei sportlich aktiven Kindern zu einer Apophysitis. Typische Erkrankungen sind die Apophysitis calcanei (Synonyme: Morbus Sever-Haglund, Morbus Haglund, Morbus Sever, Sever disease) mit Schmerzen am Fersenbein oder Apophysitis am Schienbein (Synonyme: Morbus Osgood-Schlatter, Osteochondrosis deformans juvenilis der Tuberositas tibiae, Apophysitis tibialis adolescentium, Osgood-Schlatter-disease) mit Schmerzen am vorderen Schienbeinhöcker bzw. Patellasehnenansatzes. |
| Arthritis | Gelenkentzündung. Der Begriff Arthritis sagt dabei nichts über die Ursache der Gelenkentzünung aus. Ursachen einer Arthritis können eine Abnutzung des Gelenks (Arthrose), rheumatische Erkrankungen (Chronische Polyarthritis, etc.), Infekte oder Kristalle (Gicht, Pseudogicht) sein. |
| Arthrodese | Operative Gelenkversteifung. Die Arthrodese ist vor allem bei schmerzhaften Abnutzungserscheinungen der Finger (Fingerarthrose) oder Zehen (Zehenarthrose), oder Fehlstellung der Zehen (z.B. Hammerzehen) eine gängige und erfolgreiche Operationsmethode. |
| Arthrofibrose | Gelenksversteifung. Es kann nach Verletzungen oder Operationen zu einer überschießenden Narbenbildung und Gewebevermehrung im Gelenk kommen, sodass das Gelenk schlechter beweglich ist. Es muss eine genaue Diagnostik erfolgen und ein individueller Therapieplan erstellt werden. |
| Arthropathie | Gelenkskrankheit, Gelenkkrankheit. Der Begriff Arthropathie sagt dabei nichts über die Ursache der Gelenkskrankheit aus. Eine häufige Form der Arthropathie stellt die Kristallarthropathie dar, bei der es durch Kristalle (Gicht, Pseudogicht) zur Gelenkschädigung kommt. Die hämophile Arthropathie tritt bei wieder kehrenden Gelenkseinblutungen im Rahmen der Bluterkrankheit (Hämophilie) auf. |
Arthrose | Gelenksverschleiß, Abnutzung eines Gelenkes, englisch: osteoarthritis, arthritis Im Rahmen einer Arthrose kommt es zuerst zu einer zunehmenden Abnutzung und Schädigung des Gelenkknorpels. In weiterer Folge kommt es auch zu einer zunehmenden Deformation der beteiligten Gelenksknochen und Schädigung der umgebenden Weichteile. Fehlstellungen, Bandinsuffizienz (Lockere Bänder), die zu Gelenkinstabilität führen, eingeschränkte Beweglichkeit und Schmerzen können die Folge sein. Der englische Begriff „osteoarthritis“ beinhaltet auch schon den Hinweis, dass es im Rahmen einer Arthrose zu wiederkehrenden Gelenkentzündungen (Arthritis) kommen kann. Bei starken Schmerzen, Schwellung und Überwärmung des Gelenks, spricht mach von „Aktivierter Arthrose“, dies ist eine akute Gelenkentzündungen (Arthritis) im Rahmen einer chronisch verlaufenden Arthrose. |
| Arthroskopie | Gelenksspiegelung mit Kamera, bei der mit kleinen Instrumenten Eingriffen am Gelenk vorgenommen werden können (Schlüsselloch-Chirurgie). Typischerweise werden Kniegelenks- Arthroskopien, Schultergelenks-Arthroskopien, Hüftgelenks- Arthroskopien, Sprunggelenks- Arthroskopien, aber auch Arthroskopien von Ellbogengelenk oder Handgelenk durchgeführt. |
| Bakerzyste | Zyste in der Kniekehle, welche auch Schmerzen in der Kniekehle verursachen kann. Diese hat Kontakt zum Gelenk. Ursächlich liegt oft ein Knorpelschaden oder eine Meniskusläsion im Kniegelenk zu Grunde. |
| Bockwirbel | Verschmelzen von Wirbelkörpern. Dies kann angeboren sein oder auch im Rahmen von Abnutzungserscheinungen, nach Verletzungen oder Infektionen auftreten. |
| Bone bruise | Knochenmarködem, Knochenmarksläsion, bone marrow lesion, bone marrow edema. Flüssigkeitsansammlung im Knochen. Dieses kann vielfältige Ursachen wie Verletzungen (Prellung), Mikrofrakturen, trabekuläre Frakturen, Stressfraktur (Marschfraktur) durch chronische Überlastung, Störungen des Knochen-Stoffwechsels (Osteoporose) oder Abnutzungserscheinungen (Arthrose) haben. |
| Bursitis | Schleimbeutelentzündung. Häufig kommen folgende Schleimbeutelentzündungen vor: Bursitis subacromialis und Bursitis subdeltoidea (Schulter), Bursitis olecrani (Ellbogen), Bursitis trochanterica (Hüfte), Bursitis präpatellaris (Knie). Schleimbeutel kommen jedoch in vielen Körperregionen vor, somit gibt es auch die Möglichkeit Schleimbeutelentzündungen in anderen Körperregionen zu entwickeln. |
| Cam FAI | Cam-Typ Femoroacetabuläres Impingement (Nockenwellen-Impingement); Einklemmungssyndrom (Impingementsyndrom) des Hüftgelenks wo eine Deformität am Schenkelhals vorliegt. |
| Chondropathia patellae | Knorpelschaden an der Kniescheibe. Leider wird der Begriff oft ungenau verwendet und auch ein vorderer Knieschmerz bzw. ein patellofemorales Schmerzsyndrom (PFSS) ohne Knorpelschaden als „Chondropathia patellae“ bezeichnet. |
| Chondropathie | Knorpelschaden, kann Gelenkschmerzen verursachen. |
| Chondrose | Synonyme: Bandscheibenschaden, Diskusdegeneration, Discus-Degeneration, black disc, intervertebral disc disease (IVDD) |
| Cont. | Prellung, siehe Kontusion |
| Coxa saltans | Hüftschnappen, Snapping hip syndrome |
| Coxitis fugax | Hüftschnupfen, Koxitis fugax. Dies bezeichnet eine reaktive Arthritis des Hüftgelenks bei Kindern welche üblicherweise nach durchgemachten Infekten auftritt. Die Symptome bilden sich üblicherweise innerhalb 1 Woche wieder zurück. |
| CT | Computertomographie. Schichtbildgebung mittels Röntgenstrahlen. |
| dext., dexter | rechts |
DFO, distal femoral osteotomy | Distale Femur Osteotomie. Dies ist ein Standardverfahren zur Korrektur von Beinfehlstellungen mit Ursache im Oberschenkelknochen (Femur). Dabei wird im Bereich des körperfernen Oberschenkelknochens ein Schnitt durchgeführt und dieser danach aufgeklappt um die Beinachse zu korrigieren. Die Stellung wird mittels Platte fixiert. |
| Diaphyse | Schaftteil eines Röhrenknochens |
| diaphysär | den Schaftteil eines Röhrenknochens betreffend |
| Digitus saltans, Dig. salt. | Synonyme: Schnellender Finger, Tenosynovitis stenosans. Verdickung der Beugesehne und/oder des Ringbandes, sodass die Beugesehne nicht mehr ungehindert gleiten kann. |
| DIP Gelenk | Distales Interphalangeal-Gelenk, körperfernes Finger- oder Zehengelenk |
| Diskontinuität | Unterbrechung (z.B. Diskontinuität der Achillessehne = Riss der Achillessehne) |
| Diskusherniation | Synonyme: Herniation einer Bandscheibe, Bandscheibenvorfall, Diskusprolaps, Diskusextrusion, engl. disc hernation, disc prolapse, disc extrusion. |
| distal, dist. | körperfern |
| dorsal, dors. | hinten, rückseitig (auch Handrücken, Fußrücken) |
| Dysplasie | Fehlentwicklung eines Körperteiles. Siehe auch Hüftdysplasie |
| ektop, ectop | am falschen Ort gelegen |
| Endoprothetik | Technik des künstlichen Gelenkersatzes, z.B. Knie-Endoprothetik, Hüft-Endoprothetik, etc. |
Epicondylitis humeri radialis | Synonyme: Tennisellbogen, Tennisellenbogen, Tennisarm, Epikondylitis humeri radialis, Epicondylitis radialis humeri, Epicondylitis humeri lateralis, tennis elbow, lateral epicondylitis. Schmerzen an der Außenseite des Ellbogens, am Ansatz der Handstrecksehnen. Die Ursache ist meist auf eine chronische Überlastung zurückzuführen. Nicht nur Tennisspieler sind betroffen, auch die Arbeit im Büro führt oft zu diesem Überlastungssyndrom. |
Epicondylitis humeri ulnaris | Synonyme: Golferellbogen, Golferellenbogen, Golferarm, Epikondylitis humeri ulnaris, Epicondylitis ulnaris humeri, Epicondylitis humeri medialis, golfer’s elbow, medial epicondylitis. Schmerzen an der Innenseite des Ellbogens, am Ansatz der Handbeugesehnen. Die Ursache ist meist auf eine chronische Überlastung zurückzuführen. Golfer, Kletterer, aber auch Gastronomie-Arbeiter klagen oft über dieses Überlastungssyndrom. |
| Epiphyse | Endteil/Endkappe eines Röhrenknochens |
| epiphysär | den Endteil/Endkappe eines Röhrenknochens betreffend |
| Epiphyseolysis capitis femoris | Synonyme: Slipped capital femoral epiphysis (SCFE), skiffy, slipped upper femoral epiphysis, SUFE, souffy, coxa vara adolescentium, jugendliche Hüftkopflösung. Lösung des Hüftkopfes vom Oberschenkelknochen bei Jugendlichen. Dies kann als akutes Ereignis auftreten oder auch chronisch verlaufen. |
| ESWT | Extrakorporale Stoßwellentherapie (ESWT), Extracorporeal shock wave therapy. Mittels Stoßwellentherapie werden Mikroverletzungen verursacht, welche zu einer Selbstheilung des Gewebes anregen. |
| Exostose | Knochenausstülpung, Knochenhöcker. Häufigste Form der Exostose ist ein Osteochondrom (Ekchondrom, kartilaginäre Exostose) |
| Fasciitis plantaris | Synonyme: Plantarfasziitis, Plantarsehnenfasciitis, plantar fasciitis, Plantar fasciosis, Periostitis calcanea, plantar fasciopathy, jogger’s heel. Entzündung bzw. schmerzhafte Reizung der Fuß-Sehnenplatte (Aponeurosis plantaris). Bei einer chronischen Entzündung kann es zu Kalkanlagerungen am Ursprung der Sehnenplatte am Fersenbein kommen. Dann wird von einem (plantaren) Fersensporn gesprochen. |
| Femoroazetabuläres Impingement FAI | Einklemmungssyndrom (Impingementsyndrom) des Hüftgelenks. Synonyme: Hüftimpingement, Femoroacetabuläres Impingement, hip impingement, femoroacetabular impingement syndrome, FAI, FAIS. Hier kommen mehrere Ursachen und Typen in Frage: 1) Cam-Typ Femoroacetabuläres Impingement (Nockenwellen-Impingement), wo eine Deformität am Schenkelhals vorliegt; 2) Pincer-Typ Femoroacetabuläres Impingement, mit vermehrter Überdachung des Oberschenkelkopfes/Hüftkopfes (Acetabular overcoverage oder Acetabular retroversion); 3) Rotations-Impingement, d.h. Rotationsfehler des Oberschenkelknochens (Femur) oder des Schienbeines (Tibia) welche zum Impingement führen; 4) Extraartikuläre (außerhalb des Gelenks liegende) Ursachen. Meist liegen Mischtypen dieser Grundformen vor. |
| Femur | Oberschenkelknochen |
| Fersensporn | Synonyme: heel spur syndrome Durch einen chronischen Entzündungsreiz bei Fasciitis plantaris kann es zu Kalkanlagerungen am Ursprung der Sehnenplatte am Fersenbein kommen. Dann wird von einem plantaren Fersensporn gesprochen. Im Gegensatz dazu ist der dorsale Fersensporn eine Verkalkung am Achillessehnenansatz. |
| Fibula | Wadenbein |
| fibular, fib. | wadenbeinseitig, zum Wadenbein (Fibula) hin |
| Fraktur, Fractur, Fract. | Knochenbruch |
| Ganglion | Tastbare Schwellung über einem Gelenk oder Sehnenscheiden, welches mit gallertiger Masse gefüllt ist. Falls ein Ganglion Beschwerden verursacht, kann man es punktieren (Flüssigkeit absaugen) oder operativ entfernen. |
Genu valgum, Genua valga | X-Beinstellung. X-Beine können im Wachstum oder durch Verletzungen (Knochenbrüche) entstehen. Im Falle von schweren Fehlstellungen kann auch frühzeitiger Gelenksverschleiß (Knie-Arthrose) die Folge sein. Eine operative Bein-Geradstellung ist bei schweren Fällen möglich. |
Genu varum, Genua vara | O-Beinstellung. O-Beine können im Wachstum oder durch Verletzungen (Knochenbrüche) entstehen. Im Falle von schweren Fehlstellungen kann auch frühzeitiger Gelenksverschleiß (Knie-Arthrose) die Folge sein. Eine operative Bein-Geradstellung ist bei schweren Fällen möglich. |
| Gonarthrose | Abnutzung/Gelenksverschleiß des Kniegelenks. Synonyme: Knie-Arthrose, Kniearthrose, Kniegelenks-Arthrose, osteoarthritis of the knee joint, knee arthritis. |
| Hallux valgus | Fehlstellung der Großzehe nach außen. Grundproblem ist die Abweichung des 1. Mittelfußknochens nach innen, weswegen im Falle einer operativen Korrektur der Eingriff meist am 1. Mittelfuß-Strahl durchgeführt wird. |
| Hallux rigidus | Abnutzung (Arthrose) des Gelenks zwischen 1. Mittelfußknochen und Großzehengrundglied. Dadurch kommt es zu einer eingeschränkten Beweglichkeit und Schmerzen in diesem Gelenk. |
| Hämangiom | Blutschwamm, Blutschwämmchen. Sehr häufiger Zufallsbefund bei MRT Untersuchungen (> 25% der Bevölkerung). Meist werden diese bei Wirbelsäulen MRT Untersuchungen gefunden. Eine Therapie ist im Normalfall nicht notwendig. |
| heterotop | am falschen Ort gelegen, z.B. können heterotope Ossifikationen (Verknöcherungen in den Weichteilen, d.h. am falschen Ort) am Hüftgelenk zu Schmerzen und Bewegungseinschränkung führen. |
| HKB | Hinteres Kreuzband im Kniegelenk Synonyme: Ligamentum cruciatum posterius, LCP, posterior cruciate ligament, PCL |
HTO, high tibial osteotomy | Hohe tibiale Osteotomie. Dies ist ein Standardverfahren zur Korrektur von Beinfehlstellungen mit Ursache im Schienbein (Tibia). Dabei wird im Bereich des Schienbeinkopfes ein Schnitt durchgeführt und dieser danach aufgeklappt um die Beinachse zu korrigieren. Die Stellung wird mittels Platte fixiert. |
Hüftdysplasie | Synonyme: Hüftgelenkdysplasie, Hüftgelenksdysplasie, hip dysplasia, developmental dysplasia of the hip, DDH, congenital dysplasia of the hip, CDH. Fehlentwicklung des Hüftgelenkes mit ungenügender Überdachung des Oberschenkelkopfes (Hüftkopfes). Dies führt zur Instabilität des Hüftgelenks und ist eine der häufigsten Ursachen für Hüftschmerzen oder Leistenschmerzen von Frauen im jungen und mittleren Alter. Am einfachsten kann die Hüftdysplasie auf einer Beckenübersichts-Röntgenaufnahme festgestellt werden. Bei normwertigen Befunden ist auch eine so genannte Mikroinstabilität des Hüftgelenks (microinstability of the hip) möglich. Eine exakte Schmerzabklärung ist notwendig um die genaue Ursache zu finden. |
| Hüftkopfnekrose, HKN | Synonyme: Femurkopfnekrose, Avaskuläre Nekrose des Femurkopfes, aseptischen Knochennekrose des Femurkopfes, Avascular necrosis (AVN), osteonecrosis, bone infarction Absterben des knöchernen Oberschenkelknochenkopfes oder eines Teiles davon. Ursache ist eine verminderte Durchblutung, die zu einer Nekrose (Knocheninfarkt) führt. Morbus Perthes stellt einen Sonderfall der Hüftkopfnekrose im Kindesalter dar. |
| Hüft TEP | Hüft Totalendoprothese. Vollständiger künstlicher Gelenksersatz des Hüftgelenks. |
| Humerus | Oberarmknochen |
| Hyaluronsäure | Synonyme: Hyaluronan, HA, haluronic acid. Hyaluronsäure ist ein Glycosaminoglycan, das einen wichtigen Bestandteil der extrazellulären Matrix (EZM, ECM) des Gelenkknorpels ausmacht. Hyaluronsäure kann sehr große Mengen Wasser binden und trägt deshalb zur Stoßdämpferfunktion des Gelenksknorpels und der Menisci bei. |
| Hyperintensität | Helle Arealen in bildgebenden Verfahren. Z.B. kann ein Knochenmarködem im MRT als Hyperintensität (hellerer Bereich) im Knochen gesehen werden. |
| Iliosakralgelenk | Synonyme: Iliosacralgelenk, ISG, Articulatio sacroiliaca, Sakroiliakalgelenk, SIG, Kreuzbein-Darmbein-Gelenk, Kreuz-Darmbein-Gelenk, sacroiliac joint, SI joint, SIJ. Gelenk zwischen Kreuzbein (Os sacrum) und Darmbein (Os ilium) Ein plötzlicher Schmerz im Bereich des unteren Rückens, welcher oft durch eine Drehbewegung ausgelöst wird, kann von einer Iliosakralgelenks-Blockade (ISG-Blockade) herrühren. |
| Impingement-Syndrom | Einklemmungssyndrom. Dieses kann in verschiedenen Gelenken auftreten. Am häufigsten sind das Schultergelenk, das Hüftgelenk und das Sprunggelenk von Impingement Symptomen betroffen. |
| inferior, inf. | unterhalb liegend, Synonym: kaudal |
| Infiltration | Zielgerichtetes Zuführen von Medikamenten in einen gereizten Körperteil (z.B. Gelenk, Schleimbeutel, Muskelansatz, etc.). |
Insertionstendinopathie, Ansatztendinopathie | Sehnenansatzüberlastung, Sehenansatzschädigung. Diese tritt entwender durch Überbelastung oder durch Abnutzungserscheinungen auf. |
| IP Gelenk | Interphalangeal-Gelenk, Finger- oder Zehengelenk. |
| ipsilateral | auf der gleichen Seite |
| Ischialgie | Bein-Schmerz. Eine mögliche Ursache kann eine eingeklemmte Nervenwurzel, z.B. durch einen Bandscheibenvorfall sein. Die genaue Ursache kann durch die körperliche Untersuchung eingegrenzt werden und durch apparative Techniken bestätigt werden. |
| Kalkaneus | Fersenbein, Calcaneus |
| Kallus, Callus | Neu gebildetes Gewebe/Knochen nach einer Fraktur. Nach einem Knochenbruch bildet sich zuerst bindegewebiger Kallus bzw. Knorpelkallus. Dieser wird nach und nach in Knochen umgewandelt, es entsteht ein Knochenkallus. |
| Karpaltunnelsyndrom | Synonyme: KTS, Carpaltunnelsyndrom, CTS, Medianuskompressionssyndrom, Brachialgia paraesthetica nocturna, carpal tunnel syndrome. Einengung des Karpalkanals am Handgelenk. Typische Zeichen sind Nachtschmerz in der Hand, zeitweise bis in den Oberarm ausstrahlend, nächtliches Taubheitsgefühl oder Ameisenlaufen im Bereich des Daumens, Zeigefingers und Mittelfingers. |
| Knie TEP | Knie Totalendoprothese. Vollständiger künstlicher Gelenksersatz des Kniegelenks. |
| Knochenmarködem | Knochenmarksläsion, bone marrow lesion, bone marrow edema. Flüssigkeitsansammlung im Knochen. Dieses kann vielfältige Ursachen wie Verletzungen (Prellung), Mikrofrakturen, trabekuläre Frakturen, Stressfraktur (Marschfraktur) durch chronische Überlastung, Störungen des Knochen-Stoffwechsels (Osteoporose) oder Abnutzungserscheinungen (Arthrose) haben. |
| Koxarthrose, Coxarthrose | Abnutzung/Gelenksverschleiß des Hüftgelenks. Synonyme: Hüft-Arthrose, Hüftarthrose, Hüftgelenks-Arthrose, osteoarthritis of the hip joint, hip arthritis. |
| kranial, cranial, cran. | kopfwärts, zum Schädel hin |
| kaudal, caudal, caud. | körperfern |
| Knocheninfarkt | Absterben von Knochengewebe (Osteonekrose) |
| kontralateral | auf der gegenüberliegenden Seite |
Kontusion | Synonyme: Prellung, Cont., Contusio, Contusion Verletzung ohne bildgebenden Hinweis auf Knochenbruch (Röntgen unauffällig). |
| Kyphoplastie | Synonym: Ballonkyphoplastie. Minimalinvasive Zementauffüllung eines Wirbelkörperbruches. |
| Kyphose | Krümmung der Wirbelsäule mit Buckelbildung. |
| lateral, lat. | außenseitig (z.B. lateraler Meniskus = Außenmeniskus) |
| LCL | Äußeres Seitenband am Kniegelenk Synonyme: Laterales Seitenband, Außenband, Ligamentum collaterale laterale, lateral collateral ligament, LCL, fibular collateral ligament, FCL |
| Lordose | Hohlrücken |
| Lumbago, Lumbalgie | „Hexenschuss“, Rückenschmerz im Lendenwirbel-Bereich ohne Ausstrahlung oder Ausstrahlung bis maximal in den Glutealbereich (Hinternbereich). Die Ursachen können vielfältig sein: Bandscheiben, Zwischenwirbelgelenke, Wirbelkörperbruch, Muskeln, Sehnen, Bänder, Morbus Baastrup, Erkrankungen der Bauchorgane. |
| lumbal, lumb. | zu den Lenden oder zur Lendenwirbelsäule (LWS) gehörig |
| Lumboischialgie | Rücken-Bein-Schmerz; Rückenschmerzen welche ins Bein ausstrahlen. Es wird eine radikuläre Lumboischialgie (Ursache: Eingeklemmte Nervenwurzel, z.B. durch Bandscheibenvorfall) von einer pseudoradikulären Lumboischialgie (vielfältige Ursachen möglich) unterschieden. |
| Luxation | Gelenksausrenkung |
| MCL | Inneres Seitenband am Kniegelenk Synonyme: Mediales Seitenband, Innenband, Ligamentum collaterale mediale, LCM, medial collateral ligament, MCL, tibial collateral ligament, TCL |
| medial, med. | innenseitig (z.B. mediales Kollateralband = inneres Seitenband) |
| median | in der Mitte gelegen |
| Meniskusruptur | Synonyme: Laes. men. med., Laes. men. lat., Rupt. men. med., Rupt. men. lat., Meniskusläsion, Meniskusriss, Meniskuseinriss Riss des Meniskus. Kann Schmerzen im Kniegelenk verursachen, tritt entweder verletzungsbedingt (traumatischer Meniskusriss) oder abnützungsbedingt (degenerativer Meniskusriss) auf. Bei Grad III und IV Meniskusrissen kann eine arthroskopische Teilmeniskektomie durchgeführt werden. |
| Metacarpale | Mittelhandknochen |
| Metaphyse | Metaphysärer Knochen ist jener Knochenbereich zwischen dem Schaftbereich und Endbereich eines Röhrenknochens. |
| Metatarsale | Mittelfußknochen |
| Metatarsalgie | Mittelfußschmerz. Die häufigsten Ursachen einer Metatarsalgie sind ein Verlust des Fuß-Quergewölbes (Senkspreizfuß, Spreizfuß), ein Morton-Neurinom oder eine Stressfraktur (Marschfraktur). |
| Microdrilling | Siehe Mikrofakturierung |
| Mikrofakturierung, MFX | Microfracturing. Therapiemöglichkeit bei lokalisierten Knorpeldefekten bzw. Knorpelschäden (Chondropathie). Es wird dabei der unter dem Knorpeldefekt liegende Knochen mit einer Ahle oder ähnlichen Instrumenten perforiert und dadurch Stammzellen aus dem Knochen rekrutiert. Dadurch kommt es zu einer Aufüllung des Knorpeldefektes mit Reparaturgewebe (Faserknorpel oder hyalin-artiger Knorpel, hyalin-like cartilage). Wird der Knochen im Knorpeldefekt mit einem Bohrer eröffnet spricht man von Microdrilling oder Mikrobohrung (füher auch Pridie drilling oder Pridie Bohrung). |
| MPFL | Innenseitiges Kniescheibenhalteband. Synonyme: mediales patellofemorales Ligament, mediales Retinakulum, medial patellofemoral ligament. Dieses Band kann im Rahmen einer Kniescheibenausrenkung (Patella Luxation) reißen und zu chronischer Instabilität der Kniescheibe führen. |
| Morbus, Mb. | Krankheit |
| Morbus Ahlbäck | Synonyme: Morbus Ahlbaeck, Ahlbaeck’s disease, Ahlbäck-Krankheit Aseptische Osteonekrose des medialen Femurkondylus. Diese Krankheit tritt im Gegensatz zur Osteochondrosis dissecans im mittleren bis höheren Erwachsenenalter auf. |
| Morbus Baastrup | Synonyme: Mb. Baastrup, Baastrup Phänomen, Baastrup-Syndrom, Baastrup-Zeichen, kissing spine disease. Die Dornfortsätze der Wirbelsäule berühren einander. Die Streckung (Extension) der Wirbelsäule kann Schmerzen hervorrufen. |
| Morbus Dupuytren | Synonyme: Mb. Dupuytren, Dupuytren-Kontraktur, Dupuytren-Krankheit, Dupuytren’s disease. Wucherung von Bindegewebe an der Palmarfaszie (Bindegewebestrang der Hohlhand), welche zur zunehmden Beugung der Finger führt. |
| Morbus Osgood-Schlatter | Mb. Schlatter. Überlastungserscheinung mit Schmerzen am vorderen Schienbeinhöcker bzw. Patellasehnenansatz. Siehe auch Apophysitis. |
| Morbus Scheuermann | Synonyme: Mb. Scheuermann, Adoleszenten-Kyphose. Es kommt im Jugendalter zu einer zunehmenden Rundrückenbildung/Buckelbildung im Bereich der Brustwirbelsäule. |
| Morton-Neurom | Synonyme: Morton-Neuralgie, Morton-Metatarsalgie, Morton-Syndrom, Morton-Neurinom. Schmerzhafte Kompression eines Fußsohlennerven mit typischen Schmerzen im Zehenzwischenraum 3/4. |
| MRT | Synonyme: Magnetresonanztomographie, MR, Kernspintomographie, englisch: Nuclear Magnetic Resonance, NMR. Strahlungsfreie Bildgebungsmethode zur Darstellung von Weichgeweben und Knochen. |
| Musculus, Musc. | Muskel |
| Nanofrakturierung | Therapiemöglichkeit bei lokalisierten Knorpeldefekten bzw. Knorpelschäden. Es wird dabei, so wie bei der Mikrofakturierung (MFX), der unter dem Knorpeldefekt liegende Knochen mit einer Ahle oder ähnlichen Instrumenten perforiert und dadurch Stammzellen aus dem Knochen rekrutiert. Dadurch kommt es zu einer Aufüllung des Knorpeldefektes mit Reparaturgewebe (Faserknorpel oder hyalin-artiger Knorpel, hyalin-like cartilage) |
| Nekrose | Abgestorbenes Gewebe. Dies kann Weichteil-Gewebe (Hautnekrose, Muskelnekrose, etc.) oder auch Knochen (Knochennekrose, Osteonekrose, Knocheninfarkt) betreffen. Die Ursache liegt üblicherweise in einer Unterversorgung mit Blut. |
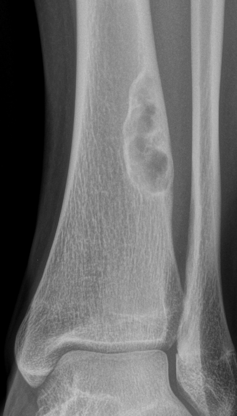
| NOF | Nicht ossifizierendes Fibrom, es handelt sich dabei um eine gutartige Verknöcherungsstörung des wachsenden Knochens. Es tritt sehr häufig auf und heilt im Erwachsenenalter selbst aus.![]() ![]() Bilder: NOF im Schienbein bei einem Jugendlichen. |
| Osteochondrosis dissecans | Osteochondritis dissecans, OCD, OD. Lokalisierte Nekrose (Absterben) des Knochens und des darüberliegenden Gelenksknorpels. Dies kann im Kniegelenk, oberen Sprunggelenk, Ellbogengelenk auftreten. Die Ursache ist nicht geklärt, eine hohe sportliche Aktivität ist bei Patienten mit Osteochondrosis dissecans jedoch zu bemerken, sodass wiederkehrende Mikroverletzungen als mögliche Ursache diskutiert werden. |
| Osteochondrose | Bandscheibenschaden mit Beteiligung der angrenzenden Wirbel. D.h. zusätzlich zum Bandscheibenschaden sind bereits Veränderungen der angrenzenden Wirbel im Röntgen oder MRT erkennbar. |
| Osteomyelitis | Synonyme: Knocheneiterung, Knochenmarksinfektion. Infektiöse Knochenmarkentzündung (typischerweise bakteriell). |
| Osteonekrose | Absterben von Knochengewebe, Knocheninfarkt. |
Osteophyt, Osteophyten | Knöcherne Anbauten bei Gelenksarthrose (z.B. Koxarthrose, Gonarthrose). Sie stellen im Röntgen Zeichen einer mittelgradigen bis hochgradigen Arthrose dar. |
| Osteotomie | Chirurgische Durchtrennung eines Knochens, siehe auch HTO und DFO |
| palmar, palm. | handflächenseitig, Synonym: volar |
| paramedian | etwas neben der Mitte gelegen |
| paravertebral | neben der Wirbelsäule |
| Patella | Kniescheibe |
| PCL | Hinteres Kreuzband im Kniegelenk Synonyme: HKB, Ligamentum cruciatum posterius, LCP, posterior cruciate ligament |
| Pelvis | Becken |
| peripher | fern vom Körperstamm |
| Pigmentierte villonoduläre Synovialitis | Synonyme: Tenosynovialer Riesenzelltumor, PVNS, PVS. Gutartiger Tumor von Gelenken oder Sehnenscheiden mit bräunlicher Färbung. |
| PIP-Gelenk | Proximales Interphalangeal-Gelenk, körpernahes Finger- oder Zehengelenk |
| Piriformis-Syndrom | Schmerzen in der Gesäßgegend, teilweise mit Ausstrahlung ins Bein. Als mögliche Ursache wird eine Einengung (Kompression) des Ischiasnervs (Nervus ischiadiucus) zwischen Musculus piriformis („birnenförmiger Muskel“) und Beckenknochen oder eine Einengung des Ischiasnervs zwischen verschiedenen Anteilen des Musculus piriformis diskutiert. Oft ist es schwierig ein Piriformis-Syndrom von fortgeleiteten Lendenwirbelsäulen-Schmerzen oder Schmerzen im Iliosakralgelenk zu unterscheiden. Auch eine Hüftgelenkserkrankung kann ein Piriformis-Syndrom vortäuschen. |
| plantar, plant. | fußsohlenseitig |
| Plica-Syndrom | Durch angeborene Schleimhautfalten (Plicae) können Schmerzen im Kniegelenk, typischerweise innenseitig der Kniescheibe (Patella), ausgelöst werden. Typischerweise ist dabei eine Plica mediopatellaris (Schleimhautfalte innenseitig der Kniescheibe) vorhanden. Eine Plica infrapatellaris oder eine Plica suprapatellaris verursachen üblicherweise keine Beschwerden. |
| posterior, post. | hinten liegend |
| prävertebral, praevertebral | vor der Wirbelsäule |
| profund, profundus | tief, in der Tiefe gelegen |
| Propriozeption | Tiefensensibilität. Fähigkeit die Stellung von Körperteilen im Raum wahrzunehmen |
| proximal, prox. | körpernahe |
| Punktion | Entfernen von Flüssigkeit aus dem Körper (z.B. Gelenkspunktion) |
| Radius | Speiche (Unterarmknochen) |
| radial, rad. | speichenseitig, zur Speiche (Radius) hin |
| reaktive Arthritis | Gelenksentzündung während oder nach einer Infektion. Z.B. kann ein Atemwegsinfekt oder Darminfekt zu einer Gelenksentzündung des Kniegelenks führen. Auch die Coxitis fugax (Hüftschnupfen) ist eine Form der reaktiven Arthritis. |
| RF | Raumforderung; diese Raumforderung kann eine gutartige (benigne) Schwellung (Tumor) oder eine Zyste sein, kann aber in seltenen Fällen auch eine bösartige (maligne) Läsion darstellen. |
| retropatellar, retropatellär | hinter der Kniescheibe (Patella) gelegen |
| Retropatellararthrose | Abnutzung (Arthrose) an der Kniescheibe |
| Rhizarthrose | Abnutzung (Arthrose) des Daumensattelgelenks |
| sakral, sacral | am Kreuzbein (Sakrum, Sacrum) |
| SBL | Sekundär blastomatöse Läsion, Absiedlung eines bösartigen Tumors. Synonyme: Metastase, Filiae. |
| Scheibenmeniskus | Synonyme: Discoid meniscus, Meniscus disciformis Der Außenmeniskus (laterale Meniskus) kann in manchen Fällen anstatt der üblichen Halbmondform eine Scheibenform aufweisen. Dies kann symptomfrei sein, jedoch treten bei manchen Menschen Beschwerden aufgrund einer Rissbildung im Scheibenmensikus auf. |
| Schlittenprothese | Knieteilendoprothese, Halbschlitten. |
| Schulter TEP | Schulter Totalendoprothese. Vollständiger künstlicher Gelenksersatz des Schultergelenks. |
| Septische Arthritis | Eitrige Gelenksentzündung. Infektion eines Gelenkes durch Bakterien. |
| Sequester | Abgetrennter/los gelöster Teil eines Bandscheibenvorfalls. |
| sin., sinister | links |
| Skaphoid, Scaphoid | Kahnbein, einer der acht Handwurzelknochen. Das Kahnbein ist der am häufigsten gebrochene Handwurzelknochen, siehe Skaphoidfraktur. Synonyme: Os scaphoideum, früher auch Os naviculare der Hand. |
| SL-Dissoziation | Riss des Handgelenk-Bandes zwischen Kahnbein (Skapoid) und Mondbein (Lunatum) Synonyme: SL-Bandruptur, Ruptur des Skapholunären Bandes, SL-Dissoziation. |
| SLAP-Läsion | Synonyme: SLAP lesion, superior labral tear from anterior to posterior, Superiorer Labrumriss von anterior nach posterior. Ausriss der oberen Gelenkslippe (Labrum) am Ursprung der langen Bizepssehne der Schultergelenkspfanne (Cavitas glenoidalis, Glenoid). Häufige Ursache von Schulterschmerzen bei jungen sportlich aktiven Menschen. |
| spinal | zur Wirbelsäule gehörig |
| Spondylolisthese | Wirbelgleiten |
| Spondylophyt, Spondylophyten | Abnutzungsbedingte knöcherne Anbauten an Wirbelkörpern; siehe auch Osteophyten. |
| Spondylose | Synonyme: Spondylosis, Spondylosis deformans. Deformierende Abnutzungserscheinung der Wirbelsäule. |
| Sportlerleiste | Synonyme: Athletic groin pain (AGP), athlete’s groin, athlete’s hip, Osteiitis Pubis, Athletic Pubalgia, Sportsman’s hernia, Gilmore’s Groin, Inguinal disruption, Hockey Players Groin, Slapshot groin. Leistenschmerz beim Sportler. Leider gibt es für den Begriff „Sportlerleiste“ keine einheitliche Definition und er wird für eine Vielzahl von Krankheitsbildern mit Leistenschmerz verwendet. |
| Stressreaktion | Flüssigkeitsansammlung im MRT. Dies kann Knochen, Sehnen, Muskeln oder Bänder betreffen. Im Einzelfall muss man mittels klinischer Untersuchung beurteilen, ob die beschriebene „Stressreaktion“ einen tatsächlichen Krankheitswert hat. |
| Subchondrale Sklerose | Verdichtung des gelenknahen Knochens. Dies kann auf einem Röntgenbild ein Hinweis auf eine Arthrose sein. |
| superfizial, superficialis, superf. | oberflächlich |
| superior, sup. | oben liegend, Synonym: kranial |
| Supraspinatus | Wichtiger Muskel der Rotatorenmanschette. Dieser Muskel und seine Sehne, welche am Oberarmkopf ansetzt, ist am häufigsten von Abnutzungserscheinungen und einem Rotatorenmanschetten-Riss (Supraspinatussehnenruptur, Supraspinatusruptur, Supraspinatussehnenriss) betroffen. |
| Skoliose | Verkrümmung und Verdrehung der Wirbelsäule über 10°. Leichte Verkrümmungen unter 10° sind häufig und stellen einen Normalbefund dar. |
| Stosswellentherapie | Synonyme: Stoßwellenbehandlung, STW, Extrakorporale Stoßwellentherapie (ESWT), Extracorporeal shock wave therapy. Mittels Stoßwellentherapie werden Mikroverletzungen verursacht, welche zu einer Selbstheilung des Gewebes anregen. |
| Subluxation | Unvollständige Gelenksausrenkung. |
| Synovitis | Entzündung der Gelenkschleimhaut. Typischerweise geht dies mit einer Schwellung der Gelenkschleimhaut und entsprechenden Schmerzen des betroffenen Gelenks einher. Die Ursachen von Synovitis (z.B. im Kniegelenk oder Hüftgelenk) können ein Knorpelschaden, ein Meniskusriss (Kniegelenk), ein Labrumriss (Hüftgelenk), Abnutzungserscheinungen (Arthrose), rheumatische Erkrankungen oder auch Infektionen sein. |
| Talus | Sprungbein |
| Teilmeniskektomie, TME | Teilentfernung des Knie-Meniskus (üblicherweise im Rahmen einer Kniegelenksspiegelung = Arthroskopie). |
| Tendovaginitis, Tenosynovitis | Sehnenscheidenentzündung |
| Tendinosis calcarea, Tendinitis calcarea | Kalkschulter. Kalkeinlagerung im Bereich der Supraspinatussehne |
| TEP | Totalendoprothese |
| Tibia | Schienbein |
| Tibiakantensyndrom | Synonyme: Schienbeinkantensyndrom, Mediales Tibiakantensyndrom, shin splint, medial tibial stress syndrome. Schmerzen an der Innenseite des Schienbeines, welche vorwiegend bei Läufern oder Sportlern auftreten. |
| tibial, tib. | schienbeinseitig, zum Schienbein (Tibia) hin |
| thorakal | am Brustkorb (Thorax), z.B. thorakale Wirbelsäule = Brustwirbelsäule (BWS) |
| Tractus iliotibialis Syndrom | Synonyme: Läuferknie, Runner’s knee, Tractus-iliotibialis-Scheuersyndrom, Tractustendinose, Tractussyndrom, Ilio-tibiales Bandsyndrom, Iliotibial band syndrome (ITBS), Iliotibial band friction syndrome (ITBFS). Schmerzhafter Reizzustand an der Außenseite des Kniegelenks welcher typischerweise durch Joggen,Stiegensteigen oder Bergwandern verursacht wird. |
| Tumor | „Schwellung“, Raumforderung, tastbarer Knoten. Die meisten Tumore des Menschen sind gutartig, z.B. Ganglion, Lipom, Hämangiom. Jedoch muss im Einzelfall ein Tumor mittels Bildgebung und gegebenenfalls mittels Biopsie abgeklärt werden. Bösartige Tumoren werden auch Krebs genannt. |
| Ulna | Elle (Unterarmknochen) |
| ulnar, uln. | ellenseitig, zur Elle (Ulna) hin |
| Valgus | Auswärtsneigung des körperfernen Knochens. Siehe Genu valgum. |
| Varus | Einwärtsneigung des körperfernen Knochens. Siehe Genu varum. |
| ventral | vorne, vorderseitig |
| vertebral | zur Wirbelsäule gehörend |
| Vertebroplastie | Minimalinvasive Zementauffüllung eines Wirbelköperbruches. |
| VKB | Vorderes Kreuzband im Kniegelenk Synonyme: Ligamentum cruciatum anterius, LCA, anterior cruciate ligament, ACL |
| volar | handflächenseitig, Synonym: palmar |
| zervikal, cervical, cervikal, cerv. | zum Hals oder zur Halswirbelsäule (HWS) gehörend |



Du muss angemeldet sein, um einen Kommentar zu veröffentlichen.